
ESTETINIS
PRIEKINIŲ
DANTŲ
PLOMBAVIMAS


KAS YRA ESTETINIS PLOMBAVIMAS
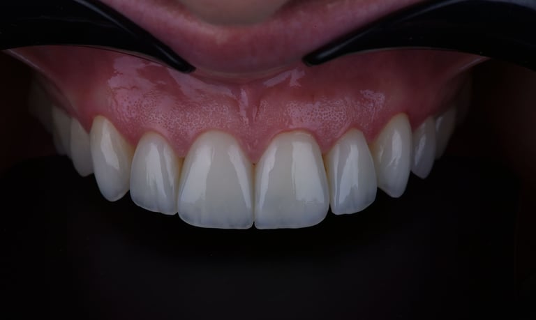
Tai yra minimaliai invazyvus pažeistų danties audinių atkūrimo būdas, kuris taikomas atkurti nuskilusius, nudilusius, ėduonies pažeistus dantis, taip pat norint patobulinti dantų spalvą ar padailinti dantų formą, uždaryti tarpus tarp dantų (diastemas) ar pakeisti senas, išsiskiriančias spalva iš natūralių danties audinių, plombas į nepastebimas restauracijas.
Estetinio plombavimo būdu dantys atkuriami sluoksniais, artimais natūraliai danties anatomijai. Taip sukuriama natūrali danties išvaizda: spalva, skaidrumas, forma, individualūs danties bruožai. Estetinis plombavimas įmanomas tik tada, kai pakanka natūralaus danties audinių.
Estetinio plombavimo metu, nešlifuojant ir nepažeidžiant sveikų danties audinių, siekiama ypač tiksliai atkurti trūkstamus audinius, kad dantys būtų gyvybingi, proporcingi, skaidrūs, blizgėtų ir puikiai funkcionuotų.
Nors estetinis plombavimas dažniausiai atliekamas be danties audinių šlifavimo, tai nėra grįžtamas procesas. Nuimti jo nebeįmanoma.
Estetinio plombavimo procedūra yra neskausminga ir nesukelia didelio diskomforto, kadangi gydomas dantis ir zona aplink yra nuskausminama.
Esant netaisyklingai dantų padėčiai pirmiausia rekomenduojamas ir mediciniškai teisingesnis yra ortodontinis gydymas breketais arba kapomis, o ne estetinis plombavimas, nes taip visiškai išsaugomi natūralūs, savi dantys.
Apie 80% populiacijos miego metu stipriai sukanda arba griežia dantimis, todėl, kaip prevencinė priemonė nuo plombų lūžimų ir skilinėjimų, po estetinio plombavimo jums bus reikalinga apsauginė kapa. Prie jos priprantama per 2 savaites. Svarbu pabrėžti, kad ji taip pat apsaugo ir kitus dantis nuo nepageidaujamo dilimo.
Estetinių plombų gyvavimo laikas yra ribotas (7-13metų) ir priklauso nuo to, kaip yra laikomasi dantų priežiūros rekomendacijų. Nusidėvėjus reikia atlikti per naują.


ESTETINIO PLOMBAVIMO RPIVALUMAI
Dažniausiai nereikia šlifavimo, todėl išsaugomi sveiki danties audiniai.
Konservatyvus restauracijos būdas.
Galimi dideli formos ir dydžio pokyčiai.
Galima lengvai uždaryti diastemą.
Galima lengvai atstatyti nudilusius kandamuosius kraštus.
Rezultatas matomas iš karto.
Dėl didelio medžiagų pasirinkimo galimas kur kas natūralesnis vaizdas, nei laminatės.
Lengvai atliekamos korekcijos.
Lengvai poliruojamas, naujausios plombos kur kas lėčiau praranda blizgumą.
Lyginant su keramikos laminatėmis – žymiai pigiau.
ESTETINIO PLOMBAVIMO PROCEDŪROS EIGA
Konsultacija ir gydymo planavimas. Pirmo vizito metu atliekama burnos apžiūra, įvertinami estetiniai ir funkciniai poreikiai. Aptariami paciento lūkesčiai. Sudaromas individualus gydymo planas, atliekamos nuotraukos.
Dantų paruošimas. Dantys izoliuojami nuo drėgmės specialia koferdamo gumos sistema, pašalinami pažeisti audiniai, kiek įmanoma išsaugant sveiką struktūrą.
Sukibimo paruošimas ir restauravimas. Dantų paviršius paruošiamas specialia rūgštimi ir surišimo sistema. Naudojant aukštos kokybės kompozito plombines medžiagas, dantis atkuriamas sluoksnis po sluoksnio, imituojant natūralias danties anatomines struktūras, spalvų perėjimus ir skaidrumą. Kiekvienas sluoksnis kietinamas specialia LED lempa. Priklausomai nuo dantų skaičiaus ir restauracijos sudėtingumo, šis etapas gali užtrukti kelias valandas.
Šlifavimas, poliravimas, galutinis vertinimas. Kai forma ir funkcija atkurta, dantys šlifuojami ir poliruojami iki natūralaus blizgesio. Tai užtikrina stiklo blizgumo paviršių, sumažina apnašų kaupimąsi ir suteikia ilgalaikį estetinį rezultatą.
Vizito trukmė:
Priklausomai nuo dantų skaičiaus ir situacijos sudėtingumo, procedūra trunka nuo 5 iki 8 valandų.
SIŲSTI UŽKLAUSĄ














DARBŲ GALERIJA










